Ces tests sont prescrits par votre médecin, en fonction de chaque situation clinique. Ils vont permettre d’évaluer les facteurs vous empêchant de concevoir.
Voici les tests qui sont le plus souvent demandés.
- Le bilan hormonal
- L’échographie pelvienne
- Le test de perméabilité des trompes
- Le spermogramme
- Fragmentation de l’ADN du sperme
Le bilan hormonal
Le bilan hormonal à réaliser pendant les règles (entre J2 et J4, le Jour 1 étant la première journée de saignement abondant de votre cycle) : dosage des hormones hypophysaires et des hormones ovariennes en particulier de l’AMH, reflet de la réserve ovarienne.

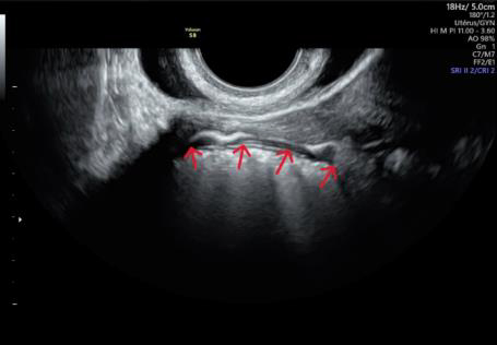
L’échographie pelvienne
pour évaluer votre réserve ovarienne, une échographie endo-vaginale sera réalisée en début de cycle (entre J2 et J6) et permettra de compter les follicules antraux et d’évaluer votre cavité utérine par une échographie 3D.



Le test de perméabilité des trompes
Soit l’hystérosalpingographie réalisée en cabinet de radiologie, soit l’HYFOSY réalisée par votre gynécologue ou un par un échographiste spécialisé. Dans les deux cas, un produit de contraste est instillé dans la cavité utérine, et la perméabilité tubaire est évaluée.

Le spermogramme
Le spermogramme, que vous réaliserez au laboratoire Biogroup Oriade PMA. L’échantillon de sperme doit être produit par masturbation, après 2 à 3 jours d’abstinence sexuelle. Une abstinence supérieure peut avoir un impact sur l’interprétation de vos résultats.
Le laboratoire se situe au RDC de l’Espace Médical Péri, au 3, rue Eugène Chavant 38400 Saint-Martin d’Hères

Fragmentation de l’ADN du sperme
Ce test permet de détecter le pourcentage de spermatozoïdes ayant des gènes fragmentés, ce qui n’est pas le cas dans le spermogramme standard. Un taux élevé de fragmentation de l’ADN est associé au risque d’infertilité et de fausses-couches. Ce test n’est pas systématique et sera éventuellement prescrit par votre médecin.



